Sponsored message
Audience-funded nonprofit news
radio tower icon laist logo
Next Up:
0:00
0:00
Subscribe
  • Listen Now Playing Listen
KPCC Archive

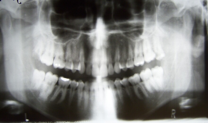
Study: Past dental X-rays linked to common form of brain tumor

A dental X-ray.
A dental X-ray.
(
Kristin Brenemen/Flickr
)

With our free press under threat and federal funding for public media gone, your support matters more than ever. Help keep the LAist newsroom strong, become a monthly member or increase your support today.

Listen 1:49
Study: Past dental X-rays linked to common form of brain tumor
A new study is suggesting that the X-rays you had at the dentist’s office years ago may increase your risk of a brain tumor.

A new study suggests that the X-rays you had at the dentist’s office years ago may increase your risk of a brain tumor.

Dental X-rays produce ionizing radiation, which has been linked to non-cancerous brain tumors called meningiomas. Although they’re benign, the tumors can cause seizures, blindness and even, if left untreated, death.

The researchers examined the dental histories of the participants, including those who had the higher-radiation X-rays of the past. The study did not focus on the effect of new lower-radiation methods.

Researchers found that patients with tumors were twice as likely to have had the older technology X-rays. People who had routine X-rays every year before the age of 10 were nearly five times as likely to develop the meningiomas.

Sponsored message

"So that's quite significant," said Dr. Keith Black, chairman of the Department of Neurosurgery at Cedars-Sinai Medical Center in Los Angeles. "I think there is an impression in the dental community that dental X-rays carry very little risk."

The study compared nearly 1,500 people diagnosed with brain tumors and a control group of nearly the same size.

Older studies looked at people exposed to high levels of this radiation from atomic bombs or cancer treatments. This new study, led by Yale researchers, is the first to focus on dental X-rays even though they're acknowledged to be the most common type of exposure.

Black regularly declines routine dental X-rays himself. He suggests dental patients with normal exams do the same.

"I don’t believe the risk is worth the routine screening," said Black. "Unfortunately, I think a lot of patients say, 'Yeah, go ahead and do the X-ray,' and a lot of X-rays are performed on a yearly basis on patients when they essentially have a normal exam."

The American Dental Association says X-rays play an important role in identifying cavities, gum disease and infections, nut they recommend X-rays only when necessary for diagnosis and treatment.

They also recommend dentists use protective abdominal shielding and thyroid collars on all patients given X-rays.

Sponsored message

The study was published in the April 10 issue of the American Cancer Association journal Cancer and was funded in part by the National Institutes of Health.

At LAist, we believe in journalism without censorship and the right of a free press to speak truth to those in power. Our hard-hitting watchdog reporting on local government, climate, and the ongoing housing and homelessness crisis is trustworthy, independent and freely accessible to everyone thanks to the support of readers like you.

But the game has changed: Congress voted to eliminate funding for public media across the country. Here at LAist that means a loss of $1.7 million in our budget every year. We want to assure you that despite growing threats to free press and free speech, LAist will remain a voice you know and trust. Speaking frankly, the amount of reader support we receive will help determine how strong of a newsroom we are going forward to cover the important news in our community.

We’re asking you to stand up for independent reporting that will not be silenced. With more individuals like you supporting this public service, we can continue to provide essential coverage for Southern Californians that you can’t find anywhere else. Become a monthly member today to help sustain this mission.

Thank you for your generous support and belief in the value of independent news.
Senior Vice President News, Editor in Chief

Chip in now to fund your local journalism

A row of graphics payment types: Visa, MasterCard, Apple Pay and PayPal, and  below a lock with Secure Payment text to the right